<

Praxis für ZahnMedizin

   Tulus & Tulus
Ärzte
Team
Patienteninformationen
Zahnärzteinformationen
Impressum
zurück

Fall Nr. 2

Diagnostik und Therapie eines rezidivierenden submukösen Abszesses

Kasuistik

Anamnese

Ein 52-jähriger Patient stellt sich mit akuten Beschwerden im linken Unterkiefer vor. Er berichtet über wiederkehrende Abszesse im Bereich des Zahnes 35, die erstmals kurz nach einer vor ca. 2 Jahren durchgefühten umfangreichen Zahnsanierung auftraten. Die Abszesse wurden sowohl chirurgisch durch Inzisionen als auch medikamentös durch Antibiotika behandelt.

Dem Patienten wurden zwei Tage vor dem jetzigen Besuch vom Hauszahnarzt erneut Antibiotika verordnet.

Bild 1 Bild 2 Bild 3

Klinischer Befund

Die extraorale Inspektion ist unauffällig. Die Palpation ergibt schmerzhafte submandibuläre Lymphknoten im linken Unterkiefer und im mittleren Bereich des horizontalen mandibulären Astes.

Intraoraler Befund: der Patient trägt im linken UK eine verblendete Brücke von 34 bis 37 mit 36 als Brückenglied. Die Kronenränder sind leicht überkonturiert, der Randschluss ist akzeptabel. Es zeigt sich ein Keramiksprung vestibulär im Bereich des Kronenrandes an Zahn 35 (Abb. 1). Im Bereich des Vestibulums der Zähne 34 und 35 ist eine leichte, etwas schmerzhafte submuköse Schwellung diagnostizierbar (Abb. 2). Lingual sind die Inspektion und Palpation unauffällig. Narben von vorherigen Inzisionen konnten nicht erkannt werden. Es liegt keine Fistel vor.

Der Perkussionsbefund und die Sensibilitätsprüfung fallen an den Zähnen 34 und 35 negativ aus.

Bei der Sechspunkt-Sondierungstiefenmessung bei 34 und 35 ergeben sich Werte zwischen 2 und 3mm.

 

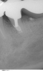
Röntgenbefund (Abb. 3)

Die Auswertung der intraoralen Röntgenaufnahme der Zähne 34 und 35 ergibt folgenden Befund:

q       Die Zähne 34 und 35 sind mit verblendeten Kronen und höchstwahrscheinlich intrakanalären Metallstiften versorgt. Es ist nicht eindeutig erkennbar, ob die Kronen mit den Stiften verbunden sind. Aufgrund der röntgenologisch erkennbaren  Konizität und der apikalen Geometrie der Stifte kann vermutet werden, dass es sich um zementierte Parapost-Stifte handelt.

q       Die Randdichtigkeit der Kronen scheint akzeptabel zu sein

q       Die Zähne 34 und 35 sind endodontisch behandelt und zeigen suboptimale Wurzelkanalfüllungen, die ca. 2 mm vor dem anatomischen Apex enden;

q       Der Stift in Zahn 34 erscheint zentral im Wurzelkanal platziert zu sein und reicht bis in das koronale Drittel des Wurzelkanals;

q       Die Insertionsachse des Stiftes im Zahn 35 weicht stark nach mesial von dem gefüllten Kanallumen ab. Die Spitze des Stiftes reicht bis in das mittlere Wurzelkanaldrittel und endet ca. 0,5 mm vor der mesialen Wurzelkanalwand.

q       Ausgedehnte mesiale pararadikuläre Aufhellung (6 X 13mm) im koronalem und mittlerem Bereich der Wurzel des Zahnes 35.

 

 

Entscheiden Sie:

 

q       Wie lauten die Diagnosen?

q       Welche Therapieoptionen kommen in Frage?

q       Für welche Option würden Sie sich entscheiden?

q       Welche Probleme und Risiken sind bei der Therapie-Entscheidung zu berücksichtigen?


Wie würden Sie entscheiden?

 Auflösung des Falles

 

q       Wie lauten die Diagnosen?

q       Welche Therapieoptionen kommen in Frage?

q       Für welche Option würden Sie sich entscheiden?

q       Welche Probleme und Risiken sind bei der Therapie-Entscheidung zu berücksichtigen?

 

 

Verdachtsdiagnosen

 

Ø      Verdacht auf Wurzellängsfraktur im koronalen und/oder mittleren Drittel des Wurzelkanals (wegen des Keramiksprunges) oder laterale Perforation der Wurzel bei Zahn 35;

Ø      Osteolyse im Bereich der vermutlichen Perforation mit möglicher Bildung von Granulationsgewebe

 

Entfernung der Brücke mit anschließender Extraktion des Zahnes 35

 

Diese einfachste Lösung weist den Vorteil auf, dass die Ursache des Problems mit größter Sicherheit und auf einfachem Wege beseitigt und kein Rezidiv zu erwarten wäre. Als Nachteile stehen dem gegenüber, dass für den Patienten höhere Kosten aufgrund der Notwendigkeit einer erneuten prothetischen Versorgung entstehen

Hinzu kommen etwas ungünstigere Verhältnisse bei einer neuen prothetischen Versorgung, da die zu überbrückende Spanne größer wird und der Zahn 34 als einziger anteriorer Brückenpfeiler nicht ausreichen dürfte, Es müsste der kariesfreie Zahn 33 als Brückenpfeiler hinzugenommen werden.

 

Wurzelamputation des Zahnes 35 mit Abtrennung des Stiftes (ohne Entfernung der Brücke)

 

Mögliche Vorteile dieser Therapieoption wären wiederum die sichere Ausschaltung der Beschwerden des Patienten. Die prothetische Restauration könnte zunächst belassen werden, die Behandlung wäre zunächst für den Patienten deutlich kostengünstiger als die meisten Alternativen

Als Nachteil ergäbe sich wiederum eine ungünstige Relation zwischen der Zahl der Brückenpfeiler und der Extension der Brücke, da der Zahn 35 zu einem Brückenglied „umgewandelt“ würde. Die komplette Entfernung organischer Reste des unter der Krone befindliches Zahnstumpfes ist technisch nicht möglich. Auch eine perfekte Abdichtung der dadurch entstandenen leeren Krone erscheint problematisch.

Intraoperativ bestünde die Gefahr, dass während der Durchtrennung des metallischen Wurzelstiftes Metallspäne in die Extraktionswunde gelangen.

Die „Umarbeitung“ der Krone des Zahnes 35 in ein Brückenglied ohne Abnehmen der Brücke verhindert die kunstgerechte funktionelle Gestaltung des neuen Brückengliedes im Sinne eines Pontics mit Kontakt zur zahnlosen Schleimhaut. Für die Gestaltung der „halbwegs vernünftigen“ Brückengliederunterfläche und Kontakte zur zahnlosen Schleimhaut mit Komposit wären mehrere Sitzungen erforderlich.

 

Orthograde Stiftentfernung, Perforationsverschluss und Revision der Wurzelkanalbehandlung

 

Eine mögliche Therapievariante bestünde in diesem Fall in einer orthograden Revision der Wurzelkanalbehandlung. Nach der Entfernung des Stiftes würden der Verschluss der lateral lokalisierten Perforation (z.B. durch das von Bargholz beschriebene „modifizierte Matrixkonzept“ 1,2) und die Revision der suboptimalen endodontischen Behandlung möglich.

Dadurch würde die Aussicht verbessert, die Keime sowohl aus dem Wurzelkanalsystem als auch aus dem Perforationsbereich zu eliminieren. Auch bestünde die Möglichkeit durch einen Verschluss der Perforation mit MTA eine Knochenregeneration zu induzieren. Studien belegen das die Eigenschaft von MTA die Regeneration von Fibroblasten des Parodontalligamentes, die Apposition zementoblastenähnlicher Zellen zu fördern und die Knochenneubildung zu induzieren 3.

Dieses Vorgehen setzt die Entfernung der Brücke und des Wurzelstiftes voraus.

Als Vorteile dieses Vorgehens sind zu benennen, dass bei guter intraoperativer Übersicht eine optimale Reinigung und Desinkektion des Wurzelkanalsystems sowie eine Optimierung der vorhandenen Wurzelfüllung möglich würden.

Als Nachteil ist zunächst die notwendige Zerstörung der relativ neuen Brücke zu diskutieren. Ein Versuch, mit entsprechenden Hilfsmitteln (z. B. Corona-Flex) die Brücke schonend zu entfernen, könnte zur Fraktur der mit Stiften versorgten Zähne führen. Der Einsatz solcher Hilfsmittel erscheint zudem sehr riskant, da anhand der Röntgenaufnahmen nicht feststellt werden kann, ob die Stifte zusammen mit den Kronen oder separat gegossen bzw. eingesetzt wurden.

Auch eine Fraktur der Wurzel des Zahnes 35 beim Versuch der Stiftentfernung ist asl mögliches Risiko in Betracht zu ziehen.

 

Chirurgische Darstellung der Perforationsstelle, Kürzung des Metallstiftes und Abdichtung der entstandenen Kavität mit MTA

 

Eine andere mögliche Therapielösung wäre, nach Darstellung der perforationsstelle durch einen chirurgischen Eingriff eine intraoperative die Kürzung des Stiftes von der Wurzelaußenseite her durchzuführen und anschließende die hierbei präpararierte „retrograde“ Kavität in der Wurzelkanalwand mit MTA zu verschließen. Dadurch würde die Zerstörung der Brücke vermieden.

Vorteile dieses Vorgehens wären die Abdichtung der Perforationsstelle unter Sichtkontrolle, die Möglichkeit einer sorgfältigen Kürettage der pararadikulären Läsion und der Inspektion eines Großteils der Wurzel im Bezug auf eventuelle Risse oder Längsfrakturen sowie der Erhalt der prothetischen Versorgung des linken Unterkiefers.

Als nachteilig zu werten  wären die Schwierigkeiten bei der Darstellung der Perforationsstelle und bei der Abtrennung des Stiftes falls diese nach lingual ausgerichtet sind, die mögliche starke Schwächung der Wurzel bei dem Versuch, den Wurzelstift retrograd zu kürzen, eine langfristig evtl. resultierende Wurzelresorption im lateralen Bereich (Perforation bzw. Abdichtung) wegen Unterbrechung des (knöchernen) Periodonts. Während der Kürzung des Stiftes besteht die Gefahr, dass Metallspäne in die Operationswunde gelangen.

 

Therapieentscheidung

 

Der Patient wurde über alle o. a. Therapiemöglichkeiten umfassend aufgeklärt, wobei ihm die letzte Variante empfohlen wurde. Die Entscheidung wurde gemeinsam getroffen und fiel für die Kürzung des Metallstiftes und Abdichtung der entstandenen Kavität mit MTA von „retrograd“.

Der Patient wurde darauf hingewiesen, dass eine Längsfraktur der Wurzel nicht ausgeschlossen werden könne. Solche Frakturen treten recht häufig bei mit Metallstiften versorgten Zähnen auf 4. Der vestibuläre Keramiksprung im Randbereich der Krone könnte als Hinweis auf eine Längsfraktur interpretiert werden. Es konnten aber nicht die für Längsfrakturen typischen parodontalen Einbrüche mit punktuell deutlich erhöhten Sondierungstiefen diagnostiziert werden. Durch den chirurgischen Eingriff würde die Möglichkeit der Inspektion unter ausreichender Sicht auf einen Großteil der Wurzel eröffnet. Falls intraoperativ eine Wurzellängsfraktur verifiziert würde, bliebe die Möglichkeit der sofortigen Wurzelentfernung offen.

 

Therapie

 

Die vermutete Perforation der Wurzel  weicht von der Längsachse des Zahnes stark nach mesial ab. Aus dem Röntgenbild ist zu entnehmen, dass auch eine Abweichung in vestibulo-lingualer Richtung vorliegt, jedoch ist nicht exakt festzustellen, ob die Perforation nach vestibulär oder nach lingual ausgerichtet ist. Die gegenwärtige vestibuläre Schwellung und die in den letzten Monaten rezidivierenden vestibulären Abszesse lassen verbunden mit der unauffälligen lingualen Inspektion einen nach vestibulär ausgerichteten Knochenabbau erwarten. Somit wird ein chirurgischer Zugang von vestibulär gewählt.

 

OP-Verlauf

Nach paramarginaler Schnittführung unter Lokalanästhesie erfolgte die Präparation eines Mukoperiostlappens und dessen Mobilisierung nach apikal. Unter dem OP-Mikroskop wurde das Granulationsgewebe bis in gesunden Knochen entfernt. Eine Osteotomie zur Darstellung der Wurzel war wegen der ausgedehnten Knochenresorption (Abb. 4) nicht notwendig, die linguale Knochenwand war allerdings von der Resorption nicht betroffen.

Die Perforationsstelle an der mesialen Wurzelseite wurde mit Hilfe von Mikrospiegel und doppelt gebogener Mundsonde dargestellt (Abb. 6) und eine Wurzelglättung mit Ultraschall (Paro-Ansätze)vorgenommen.

Röntgenaufnahme mit einer Kürette für die Überprüfung der „Schnittebene“ für die Kürzung des Metallstiftes (Abb. 5). Es folgte die Kürzung des Metallstiftes unter NaCl-Kühlung mit Hilfe von diamantierten Ultraschallansätzen zur retrograden Präparation, die Reinigung der entstandenen Kavität und die Abdichtung mit MTA-Zement (ProRoot, Dentsply, Konstanz) – Abb. 7.

Nach einer Röntgenkontrolle (Abb. 8) wurde die Wunde mit monofilem atraumatischem Nahtmaterial der Stärke 5-0 verschlossen.

Die Fäden wurden nach 7 Tagen entfernt, die Wundheilung verlief komplikationslos.

 

 

Sechs Monaten nach dem Eingriff berichtet der Patient über komplette Symptomfreiheit. Die intraorale Inspektion ergibt eine vollständige Heilung der Weichgewebe. Die angefertigte Röntgenaufnahme (Abb. 9) zeigt bereits eine Tendenz zur Reossifikation.

 

 

Angesichts der relativen kurzen Beobachtungszeit ist eine Beurteilung der Entscheidung sicherlich nicht aussagekräftig. Dennoch die völlige Beschwerdefreiheit des Patienten wie auch die röntgenologisch zu beobachtende Reossifikation sind als positive Zeichen zu betrachten. Die bei der Entscheidungsfindung dargestellten möglichen Vorteile dieser Entscheidung konnten bisher bestätigt werden.

 

 

Literatur

1.  Bargholz C:  Die klinische Anwendung von Mineral Trioxide Aggregate (MTA). Endodontie 2004; 13: 235-242.

2. Bargholz, C: Perforation repair with mineral trioxide aggregate: a modified matrix concept. Int Endod J 2005; 38: 59-69.

3. Schwarze T: Mineral Trioxide Aggregate (MTA) – Eine Literaturübersicht. Endodontie 2004; 13: 211-224.

4. Kfir A, Zukerman O, Tamse A, Fuss Z: Vertikale Wurzelfrakturen bei wurzelkanalbehandelten Zähnen – Ätiologie, Diagnose und Therapie. Endodontie 2002; 11: 115-121.

Bild 4 Bild 5 Bild 6
Bild 7 Bild 8 Bild 9